图片新闻
科技引领未来——我院神经外科成功开展首例机器人辅助手术
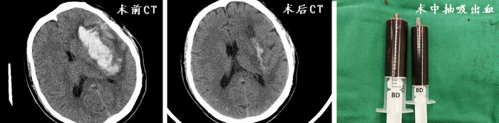
近日,我院完成了首例由机器人辅助的外科手术,神经外科医生用机器人来为脑出血患者进行精准病灶定位并穿刺引流,手术切口仅有3mm,患者术后快速康复。

10月12日,我院神经外科通过绿色通道收治了3名危重脑出血患者,入院时患者均有严重的意识及肢体功能障碍。神经外科团队针对患者病情展开讨论,根据患者症状体征及影像学检查,手术指征明确,决定采取颅内血肿穿刺引流。与以往不同的是,术中将使用机器人精准确定病灶穿刺靶点、合理规划并选择路径,从而达到最佳的引流效果。3例不同病变部位颅内血肿在机器人辅助引导下顺利完成穿刺,术后复查头部CT提示颅内出血引流效果满意,三位患者意识及肢体功能得到明显改善,目前正在康复治疗中。

我院神经外科是通州区首家开展机器人辅助手术的科室,应用国产CRAS-2型立体定向手术机器人,在短短二小时内迅速完成了3台不同部位的高血压脑出血的定位扫描、手术路径计划和穿刺置管。机器人辅助立体定向手术的优点是机械臂和基座的刚性和稳定性很强,提高了手术操作精准度(误差小于0.5mm),术中无需使用头架固定,对后颅窝病变操作没有框架阻挡,便捷高效。此外,立体定向手术机器人还可以辅助神经外科医生完成深部囊性病变穿刺置管、颅内病变活检、立体定向间质内放疗、小病变定向引导切除等多种疾病诊断及治疗。
此项技术的顺利开展标志着我院神经外科诊疗水平及理念已跻身于国内神经外科前列,提高了医院的社会声誉,同时也为北京城市副中心神经外科学的发展做出了贡献。

























